Pharmazie
Lieferengpass bei Immunglobulin Cutaquig: Produktion wird wieder hochgefahren
Der Lieferstopp von Cutaquig ist beendet, die Produktion des lebenswichtigen Immunglobulins läuft wieder an. Hersteller Octapharma weist jedoch auf... Mehr»
Studie bestätigt Zusammenhänge Schilddrüsenprobleme: Schwere Herzerkrankungen möglich
Eine Auswertung von 32 Studien mit insgesamt 1,3 Millionen Teilnehmer:innen bestätigt, dass schon leichte Störungen der Schilddrüsenfunktion zu schweren... Mehr»
Signifikante Erhöhung des Risikos Krebs: Zirkadianener Rhythmus gestört
Forscher:innen haben erhebliche Verbindungen zwischen der Entstehung von Krebs und der inneren Uhr gefunden. Störungen des biologischen Rhythmus wirken sich... Mehr»
APOTHEKE ADHOC WEBINAR OTC Labortests aus der Apotheke
Die eigene Gesundheit zu kontrollieren ist derzeit so einfach wie nie. Das sogenannte „Health Tracking“ liegt im Trend, weil das Gesundheitsbewusstsein der... Mehr»
Respiratorisches Synzytial-Virus bei Kleinkindern RS-Virus: Gefahr für schweren Verlauf
Laut des aktuellen Wochenberichts des Robert Koch Instituts steigt Deutschland in die Erkältungssaison mit deutlich höheren Zahlen als im Vorjahr ein. Die... Mehr»
Gastrointestinale Störungen und Vitamin-Mangel Vitamin B12: Achtung bei Metformin und PPI
Werden Antidiabetika wie Metformin und Protonenpumpeninhibitoren wie Pantoprazol zusammen eingenommen, kann es zu einem ausgeprägten Vitamin B12-Mangel kommen.... Mehr»
Virusinfektion im Herbst Pseudokrupp: Bellender Husten mit Atemnot
Plötzlich auftretender blecherner Husten in der Nacht deutet meist auf einen Pseudokrupp-Anfall hin. Wenn Kinder mit entzündetem Kehlkopf husten und beim... Mehr»
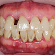
Hohe Blutzucker-Werte schwächen Zahnfleisch Diabetiker: Risiko für Parodontitis dreimal so hoch
Was viele Diabetiker:innen nicht wissen: Parodontitis ist eine der vielen Folgekrankheiten von Diabetes. Umgekehrt können sich Entzündungsherde im Mund negativ... Mehr»
Lycopin und Selen als Radikalfänger Prostatakrebs: Prävention durch Tomaten
Männer können durch den wöchentlichen Konsum von mindestens zehn Tomaten das Prostatakrebsrisiko senken, wie eine Untersuchung zeigte. Neben dem Inhaltsstoff... Mehr»
Warten auf Lieferankündigung Comirnaty für Kleinkinder: Impfstoff nicht bestellbar
Nach der Zulassungsempfehlung der EU-Arzneimittelbehörde für Comirnaty für Kleinkinder zwischen 6 Monate und vier Jahre ist das Präparat noch nicht erhältlich.... Mehr»
Verlauf und Therapie Darmflora beeinflusst Multiple Sklerose
Eine gestörte Darmflora wird mit einer ganzen Reihe von Folgeerkrankungen in Verbindung gebracht. Jetzt bestätigt eine aktuelle Studie ein erhöhtes Risiko, an... Mehr»
Entzündungsprozesse fördern Zellveränderungen Diabetes: Darmkrebs-Risiko verdreifacht sich
Typ-2-Diabetes ist bekannt dafür, etliche Folgeerkrankungen auszulösen. Wissenschaftler:innen fanden in einer Studie heraus, dass die Stoffwechselerkrankung das... Mehr»
Aufbrauchfrist verlängert NRF: Neue Stabilitätsdaten für Ibu-Saft
Die Liefersituation bei den Fiebermitteln Paracetamol und Ibuprofen bleibt weiterhin angespannt. Apotheken weichen auf die Anfertigung von individuellen... Mehr»
Analyse von Substanzen per NIR-Gerät Drug-Checking: Apotheken dürfen Drogen prüfen
Drug-Checking in Apotheken ist in Deutschland theoretisch bereits rechtlich möglich. Laut Betäubungsmittelgesetz (BtMG) dürfen öffentliche Apotheken Drogen zur... Mehr»










































